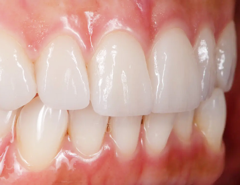
審美歯科治療

    西馬込(大田区)の歯医者、なおい歯科クリニックの審美歯科治療

    「前歯の形や色が気になって、思いきり笑えない」
    「銀歯を白くしたいけれど、どの材料を選べばいいのかわからない」

    口元の悩みは、時に心の健やかさまで左右してしまいます。
    私たちが提案する審美歯科治療は、単に歯を白く整えることだけがゴールではありません。

    大田区西馬込のなおい歯科クリニックでは、「生体模倣(バイオミメティクス)」という考え方を大切にしています。
    それは、天然の歯が持つ本来の成分、硬さ、機能を、最新の歯科材料で再現すること。
    患者様は「綺麗にしたい」という想いでセラミックを選ばれます。
    しかし、歯科医師である私は、「あなたの歯を最も長持ちさせ、二度と再治療をさせないため」に、セラミックをベストな選択肢として推奨しています。

     

    なぜ、「セラミック」がベストなのか

    西馬込(大田区)の歯医者、なおい歯科クリニックの審美歯科治療

    「見た目が綺麗だから」という理由は、セラミックが持つ魅力のほんの一部に過ぎません。
    医学的な視点から、私たちがセラミックにこだわる「本当の理由」をお話しします。

    生体模倣性(バイオミメティクス)の追求
    セラミックは、天然の歯のエナメル質と物理的な性質が非常に近く、身体になじみやすい(生体親和性が高い)材料です。
    熱による膨張や収縮も歯とほぼ同じであるため、年月が経っても歯と詰め物の間に隙間ができにくく、二次虫歯のリスクを最小限に抑えられます。

    汚れ(プラーク)を寄せ付けない表面特性
    保険診療で使用される銀歯やプラスチック(レジン)は、表面に微細な傷がつきやすく、細菌がこびりつきやすい性質があります。
    対してセラミックは、陶器のように非常に滑らかで硬いため、汚れが定着しにくく、歯周病の予防にも大きく貢献します。

    「やり直しのない治療」を目指して
    私たちの目標は、一度治療した場所を一生持たせることです。
    吸水性がなく変色もしないセラミックは、長期的な安定性が極めて高く、「再治療のループ」を断ち切るための最も強力な武器となります。

     

    なおい歯科の精密審美へのこだわり

    西馬込(大田区)の歯医者、なおい歯科クリニックの審美歯科治療

    どんなに高価な材料を使っても、適合が悪ければ宝の持ち腐れです。
    当院では、以下のプロセスにより、治療の制度を追求しています。

    マイクロスコープと拡大鏡による「精密補綴」
    肉眼の数十倍に視野を拡大できるマイクロスコープを使用し、歯と被せ物の境界(マージン)をミリ単位以下で整えます。
    隙間や段差をゼロに近づけることで、細菌の侵入を徹底的にブロックします。

    歯肉とのバランスと「歯周形成」
    美しい歯には、健康的な歯茎のラインが不可欠です。
    必要に応じて、歯茎の形を整える「歯周形成外科」を併用し、歯と歯茎が自然に調和する、健康的で知性のある口元をデザインします。

    歯科技工士との密な連携(立ち会い)
    当院では、自由診療専門の熟練した歯科技工士と提携しています。
    難易度の高いケースや患者様が強いこだわりをお持ちの場合は、技工士の立ち合いを依頼することも可能です。
    作り手が直接お口の中の色調や顔立ちを確認することで、写真だけでは伝えきれない「光の透過性」や「質感」を完璧に再現します。

     

    保険診療と自由診療(自費)の「違い」

    費用の差は、単なる「材料費」の差ではありません。それは、「精度を追求するために費やされる時間と工程の差」です。

    歯科治療において、最も避けなければならないのは「治療した場所がまた虫歯になること(二次カリエス)」です。
    自由診療の審美歯科治療は、この再発リスクを極限まで抑えるために、保険診療では不可能な「手間」と「精度」を注ぎ込みます。

     

    歯肉圧排(しにくあっぱい)

    西馬込(大田区)の歯医者、なおい歯科クリニックの審美歯科治療

    自由診療では、型取りの前に、歯と歯茎の間に細い糸を入れ、一時的に歯茎を押し広げる「歯肉圧排」を必ず行います。
    これを行わないと、被せ物と自分の歯の「境界線(マージン)」が歯茎に隠れてしまい、型取りが曖昧になります。

    歯肉圧排を行うことで、技工士は「どこまでが歯で、どこからが被せ物か」を正確に把握できます。
    これにより、段差のない「吸い付くような適合」が実現し、細菌の侵入を防ぎます。

     

    シリコン印象と超硬質石膏

    西馬込(大田区)の歯医者、なおい歯科クリニックの審美歯科治療

    型取りに使用する材料と、それをもとに作る石膏模型の精度も全く異なります。


    保険診療
    主に「アルジネート(海藻成分)」を使用します。
    これは時間が経つと乾燥して収縮しやすく、精密な再現には限界があります。

    自由診療
    変形がほとんどない「シリコン印象材」を使用します。
    さらに、その型に流し込むのは「超硬質石膏」です。
    これらは非常に高価な材料ですが、ミクロン単位の精度であなたのお口を診察室の外(技工所)に再現するためには欠かせません。

     

    自費専門の歯科技工士

    西馬込(大田区)の歯医者、なおい歯科クリニックの審美歯科治療

    被せ物を作るのは、歯科医師ではなく歯科技工士です。


    保険診療
    大量生産を目的としたラボで、効率重視で作られることが一般的です。

    自由診療
    高度な審美眼と技術を持つ「自費専門の技工士」が、顕微鏡下で一つひとつ時間をかけて製作します。
    天然の歯の複雑な色調、噛み合わせの微細な凹凸、そして前述の「精密な適合」を追求します。

     

    マイクロスコープによる最終確認

    西馬込(大田区)の歯医者、なおい歯科クリニックの審美歯科治療

    どんなに優れた技工物も、装着の瞬間にわずかなゴミが挟まったり、接着剤が残ったりすれば失敗です。
    当院ではマイクロスコープ(歯科用顕微鏡)を使用し、強力な光と拡大視野のもとで接着作業を行います。
    肉眼では見えない「段差」や「接着剤の取り残し」を徹底的に排除することが、5年、10年と長持ちする治療の絶対条件です。

     

    「安価な治療」の本当のコスト

    西馬込(大田区)の歯医者、なおい歯科クリニックの審美歯科治療

    保険診療は、日本が誇る素晴らしい制度であり、最低限の機能を回復するには十分です。
    しかし、数年ごとに「詰め物が取れた」「中で虫歯になった」と再治療を繰り返すと、そのたびに自分の歯は削られ、どんどん小さくなってしまいます。

    「一生で、その歯を何回治療しますか?」

    当院の自由診療は、一回の費用は保険より高くなります。
    しかし、再治療のループを断ち切り、将来的に歯を失うリスクや、抜歯後のインプラント費用などを考えれば、「最も安くて賢い、歯への投資」であると私たちは確信しています。

     

    当院で取り扱っている審美歯科メニュー

    ダイレクトボンディング

    西馬込(大田区)の歯医者、なおい歯科クリニックの審美歯科治療

    歯を削る量を最小限に抑え、高強度のセラミック粒子を配合した樹脂を直接お口の中で盛り上げていく手法です。
    隙間(すきっ歯)の改善や、小さな虫歯に最適です。

     

    ジルコニア

    西馬込(大田区)の歯医者、なおい歯科クリニックの審美歯科治療

    「白いダイヤモンド」と呼ばれるほどの強度を誇る材料です。
    奥歯の強い力にも耐えられ、ブリッジなどの強度が必要な部位にも適しています。

     

    e-max(イーマックス)

    西馬込(大田区)の歯医者、なおい歯科クリニックの審美歯科治療

    透明感が非常に高く、天然の歯と見分けがつかないほどの美しさを再現できます。
    歯と強固に接着するため、前歯から奥歯まで幅広く使用される優れたセラミックです。

     

    ゴールド

    西馬込(大田区)の歯医者、なおい歯科クリニックの審美歯科治療

    見た目の白さよりも「歯への優しさ」を最優先したい場合に、金の詰め物を提案することがあります。
    金は展延性が高く、噛むほどに歯に馴染むため、高い機能性を持ちます。

     

    ラミネートべニア

    西馬込(大田区)の歯医者、なおい歯科クリニックの審美歯科治療

    歯の表面を薄く(0.3〜0.5mm程度)削り、セラミックのシェルを貼り付ける方法です。
    形や色を短期間で劇的に改善したい場合に有効です。

     

    院長より:美しさは、自信、そして健康へ

    西馬込(大田区)の歯医者、なおい歯科クリニックの審美歯科治療

    審美歯科治療を終えられた患者様が、鏡を見てパッと表情を明るくされる瞬間。
    それが歯科医師として最も嬉しい時の一つです。
    しかし、私の本当の願いは、その美しさが20年、30年先も続き、患者様が「自分の歯で美味しいものを食べ続けられること」にあります。

    「とりあえず白くしたい」ではなく、「一生大切にしたい」という想いに応える治療を。
    西馬込のなおい歯科クリニックで、あなたの未来への投資を始めませんか。

    よくある質問(FAQ)

    Qセラミックと銀歯、結局どちらが「お得」なのですか?
    A短期的な費用だけを見れば、保険適用の銀歯の方が安く済みます。しかし、銀歯は経年劣化で歯との間に隙間ができやすく、数年〜十数年で中で虫歯が再発(二次カリエス)するリスクが非常に高いです。再治療のたびに自分の歯は削られ、最終的には抜歯に至ることも少なくありません。
    一方、セラミックは精密な適合が可能で汚れも付きにくいため、「歯を長持ちさせる=生涯にかかる歯科治療費を抑える」という意味では、セラミックの方が圧倒的に価値が高いと言えます。
    Qジルコニアとe-max(イーマックス)、どちらを選べばいいですか?
    Aお口の状態や部位によって、最適な材料は異なります。
    ジルコニア: 圧倒的な強度が特徴です。強い力がかかる奥歯や、ブリッジなどに適しています。
    e-max: 透明感が非常に高く、天然の歯とほとんど見分けがつきません。前歯や、見た目を重視する部位に適しています。
    当院では、噛み合わせの強さや隣の歯とのバランスを考慮し、科学的根拠に基づいて最適な材料をご提案します。
    Q金属アレルギーが心配です?
    Aセラミックは陶器の一種であるため、金属を一切含みません(メタルフリー)。金属アレルギーの心配がないだけでなく、金属イオンの溶け出しによる「歯茎の黒ずみ」も防ぐことができます。身体に優しい治療を希望される方には、セラミックがベストな選択です。
    Qセラミックは割れたり欠けたりしませんか?
    Aセラミックは非常に硬い材料ですが、陶器と同じように強い衝撃や、過度な歯ぎしり・食いしばりによって割れる可能性はゼロではありません。当院では、マイクロスコープを用いた精密な噛み合わせ調整を行うことで、一部に無理な力がかからないよう設計しています。また、5年間の無料保証(条件あり)を設けており、万が一の際も責任を持って対応いたします。
    Q治療した歯は、何年くらい持ちますか?
    A適切なメンテナンスを行えば、10年、20年、あるいはそれ以上使い続けることが可能です。寿命を左右するのは、治療時の「精度」と、その後の「セルフケア・定期健診」です。当院では精密な「歯肉圧排」や「シリコン印象」によって細菌の侵入を徹底排除し、長寿命な治療を追求しています。
    Q前歯を治療している間、歯がない状態で過ごすのですか?
    Aいいえ、ご安心ください。治療期間中は、精密な仮歯(プロビジョナルレストレーション)を装着していただきます。この仮歯は単なる見た目しのぎではなく、歯茎の形を整えたり、噛み合わせの確認を行ったりするための重要なステップです。お仕事やプライベートに支障が出ないよう配慮いたします。
    Q歯をたくさん削るのは嫌なのですが…。
    A私たちも、可能な限り「自分の歯を残すこと」を優先しています。例えば、ごく小さな虫歯や隙間の改善であれば、歯をほとんど削らずに修復できる「ダイレクトボンディング」や、表面をわずかに削るだけの「ラミネートべニア」など、最小限の侵襲(低侵襲治療)で最大の効果を得られる方法をご提案します。
    Q技工士の立ち合いを希望すると、何が変わりますか?
    A歯の色は単なる白ではなく、グラデーションや透明感、表面の凹凸が複雑に絡み合っています。技工士が直接お会いすることで、患者様の肌の色、唇の動き、お顔全体のバランスを「作り手の目」で直接確認できます。これにより、写真やデータだけでは表現しきれない、「鏡を見た瞬間に自分の一部だと感じる」ほどの高い再現性が可能になります。
    Q保証期間の条件である「定期健診」は、なぜ必要なのですか?
    Aどんなに精密な被せ物も、それを支える土台(歯茎や骨)が歯周病になってしまえば、抜けてしまいます。また、噛み合わせは加齢や周囲の歯の変化によって少しずつ変わります。5年、10年と健康な状態を保つためには、プロによる定期的なチェックとクリーニングが不可欠です。私たちは、治療後からが本当の「健康の守り」の始まりだと考えています。

     

PAGE TOP